Implants…

Absolutely!
Experience Matters.
0
Implants placed... and counting ;)

Your Lake Worth Dentist

Owners of Today Dental

Today Dental Crowley

One implant – Many solutions

Whether you require a single implant, multiple implants, an implant-retained overdenture, or an All-On-Four solution, we have you covered! Our commitment is to tailor your treatment to meet your needs.

Long-lasting implants

Feel confident smiling and eating! We never compromise on quality, using the latest implant technology and products available today.

Saving money

At Today Dental in Lake Worth, we streamline the implant process to maintain low costs, allowing us to pass savings directly to you. This ensures you receive outstanding care at a price within your budget.

Experienced dentists

Get your cleaning and dental implant all at one place. Don’t want to go from clinic to clinic seeing different doctors? At Today Dental of Lake Worth we do it all. Come see us Today!

Less implant appointments

We’ve made the implant process easy by using the latest advances in implant technology. More efficient, less appointments = More time cheering for the Cowboys!

Pain free dentistry

We know dental anxiety is common. With multiple sedation choices from IV sedation to Laughing Gas, you will be calm and pain-free. At Today Dental in Lake Worth, we specialize in accommodating those who fear the dentist!

One implant – Many solutions

Whether you require a single implant, multiple implants, an implant-retained overdenture, or an All-On-Four solution, we have you covered! Our commitment is to tailor your treatment to meet your needs.

Long-lasting implants

Feel confident smiling and eating! We never compromise on quality, using the latest implant technology and products available today.

Saving money

At Today Dental in Lake Worth, we streamline the implant process to maintain low costs, allowing us to pass savings directly to you. This ensures you receive outstanding care at a price within your budget.

Experienced dentists

Get your cleaning and dental implant all at one place. Don’t want to go from clinic to clinic seeing different doctors? At Today Dental of Lake Worth we do it all. Come see us Today!

Less implant appointments

We’ve made the implant process easy by using the latest advances in implant technology. More efficient, less appointments = More time cheering for the Cowboys!

Pain free dentistry

We know dental anxiety is common. With multiple sedation choices from IV sedation to Laughing Gas, you will be calm and pain-free. At Today Dental in Lake Worth, we specialize in accommodating those who fear the dentist!

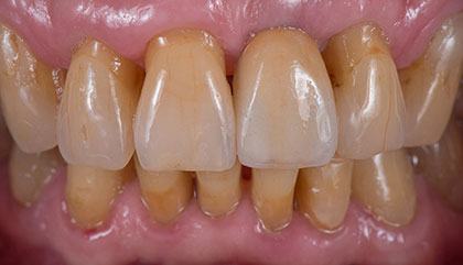
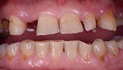
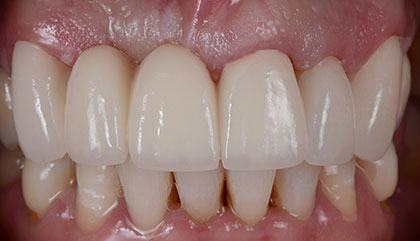
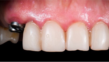
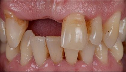
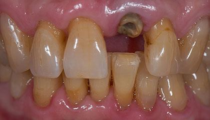
Love Your Smile, Love Your Implant

before
after
before
after
before
after
before
after

Opening Hours

DayHours
Monday8:30 a.m. - 5:30 p.m.
Tuesday8:30 a.m. - 5:30 p.m.
Wednesday8:30 a.m. - 5:30 p.m.
Thursday8:30 a.m. - 5:30 p.m.
Friday8:30 a.m. - 3:00 p.m.
Saturday8:00 a.m. - 2:00 p.m.
SundayClosed

YOUR Lake Worth TEAM

Lake Worth Office
Lake Worth Office
Lake Worth Office
Lake Worth Office
Lake Worth Office
Lake Worth Office
Lake Worth Office
Lake Worth Office
Lake Worth Office
Lake Worth Office
ET
Elaine T.

The staff was organized and helpful for. The nurses were so sweet and supportive. The doctor was very business like and quickly extracted my extremely painful tooth. The costs was reasonable. I definitely will this use this dentist again.

KC
Karen C.

I had an emergency appointment for a badly cracked tooth. They saw me asap and then apologized for my wait. Came in the next day for a temporary crown. Staff was professional and attentive. Thank you for a great experience at such short notice.

MW
Michele W.

A lovely office. Staff are kind and my nurse was a jewel. It was my first visit, but I will need extensive work on my teeth. I will be staying with this dentist for that work. He is nice, honest, and direct which are qualities I appreciate.

ET
Eugenia T.

Very good people, doctor understood right away what’s wrong and helped us with a good plan and fix our problem . Very helpful people and a good team.

You’ve made it this far. . .

FREE Teeth Whitening

Just ask at your first visit

Your Lake Worth DENTAL IMPLANT EXPERTS

Frequently Asked Questions

How long does it take?

Whether getting one or multiple dental implants there will be multiple appointments. There are 5 basic steps (sometime more) to getting an implant. Many times a patient may only need 3 of the 5 steps based on their individual anatomy, remaining bone and presence of teeth. Here are the breakdown of steps and average time:

  • Step 1: Extract broken tooth and place bone graft (1st appointment). Wait 4-6 months for bone to heal.
  • Step 2: Place implant (2nd appointment) and wait 4-6 months for healing.
  • Step 3: Uncover implant and place healing abutment (3rd appointment). Wait 3-4 weeks for healing.
  • Step 4: Place impression coping, take impression for crown (4th appointment). Wait 2-3 weeks for crown fabrication.
  • Step 5: Get crown delivered

It’s important to note that most patients do not require all steps and in many cases they can get implants immediately or combine multiple steps into one appointment. Most Today Dental of Lake Worth patients complete the whole process from implant placement to crown in mouth in 4-5 months.

What is the cost?

The cost varies greatly but implants typically range from $1,200 to $2,500. This is does not include abutments, extractions, bone grafting or the crown which are not always needed. At Today Dental of Lake Worth we understand implants are not cheap. We’ll do everything we can to work within your budget, utilize your dental insurance benefits and provide discounts through our CareDent Plan (in-office-discount plan). Let’s get you in today for a no-charge implant consultation (call to schedule)

What to expect at your 1st visit?

We’ll perform a comprehensive implant evaluation day one to see if implants are right for you. We’ll access bone, anatomy, gums, sinuses, oral health and other structures to determine what steps are necessary for implant placement. We’ll present a treatment plan with timeframe and associated fees so there’s no hidden costs or surprise billing. At Today Dental of Lake Worth we like to reduce the total number of appointments. If you’re up for it, we can typically start treatment at your first appointment.

Why should I get a Implant?

Implants are a great tooth replacement option. Implants are commonly referred to as “artificial roots.” They generally have a good long-term prognosis (in the absence of disease) and most resemble a tooth when compared to a removable prosthetic (aka denture). Nothing beats a real God-given tooth, but a dental implant is a close second. Our patients in Lake Worth choose implants in many cases because of the look, feel and function that no other dental prosthetic can provide.

Will it hurt?

Our doctor has taken additional training courses because they want to be the best. We have taken advantage of the latest technology and advancements in dentistry to make your dental implant process as painless as possible. There may be some slight discomfort when getting numb or during tooth extraction, but this should be minimal. Typically there is little to no pain during implant placement and if desired we have IV sedation, conscious sedation (oral medication and nitrous), and laughing gas (nitrous oxide) options. Call to find out more!