Veneers…
Never Afraid To “Say Cheese”

Your content here.
Experience Matters.
0
Veneers placed…and counting : )

Your Lake Worth Dentist

Owners of Today Dental

Today Dental Crowley

Lower cost veneers

Experience a life transformation with budget-friendly veneers at your Lake Worth dentist. Our commitment to serving numerous patients with this service ensures low costs, making veneers affordable for you!

Experienced veneer team

Don’t compromise with a newbie. Today Dental of Lake Worth offers a team with years of hands-on experience. We know firsthand that real-world expertise is irreplaceable.

Veneers – Exactly what we do!

It’s all about veneers at Today Dental of Lake Worth! Planning a class reunion or reconnecting with someone from your past? We’ve got your back, helping you bring back the smile you deserve!

Find your smile!

A smile possesses the charm to melt hearts, unlock career doors, and make unforgettable first impressions. Its contagious nature is something we truly appreciate. Stop waiting—come see us today!

Dream smile

Imagine looking in the mirror and seeing a beautiful smile smiling back at you. That reality is not far away. Your Lake Worth dentist can make that dream possible with a simple procedure placing veneers over crooked, broken, cracked or discolored teeth.

Here’s a little secret:

Nothing excites a dentist more than changing lives with a fresh, beautiful smile. Let us be a part of your dental journey, crafting the perfect smile that you deserve.

Veneers, veneers, more veneers

Whether your planning a wedding, rekindling a long lost friendship, Today Dental of Lake Worth has your back. We can help you bring the brightness back to your smile.

Love your smile again

A smile will melt hearts. A smile can mean a better job. A smile is a first impression. A smile is contagious. Trust us, we know deeply how much a smile can impact one’s life. Don’t wait any longer. Come see us today.

Your wallet with thank you

Today Dental of Lake Worth can change your life with veneers. The best part… because we help so many of our patients with this service, we can keep our costs low. That means veneers are now affordable!

Smiling everyday!

Imagine waking up and looking in the mirror and seeing the perfect smile. This can be your reality. It really can. Feel good looking in the mirror and seeing a great smile, smiling back. It’s a great day to start smiling.

Want to know a secret?

There isn’t anything more exciting for a dentist than to have the opportunity to change a life by giving them a new smile. Let us be apart of your dental journey and get you the smile you deserve.

Experience matters

When it comes to your smile you don’t want to mess around with a novice. At Today Dental of Lake Worth you will work with a team with years of experience. We feel there is no substitute for hand-ons experience.

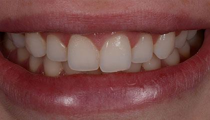
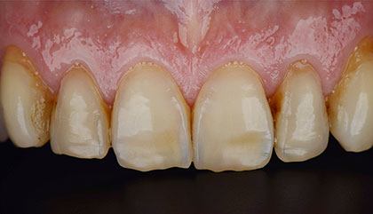
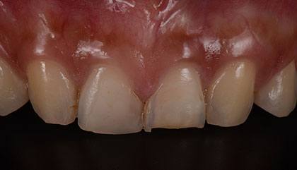
Million Dollar Smile at a Fraction of the Cost

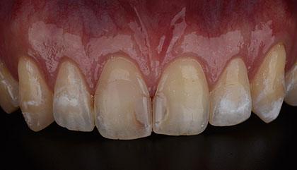
before
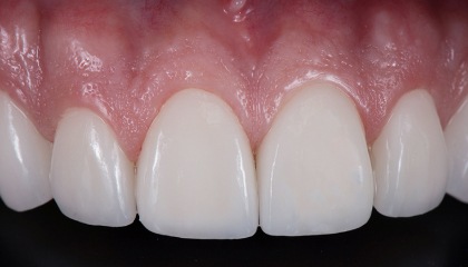
after
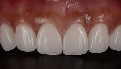
before
after
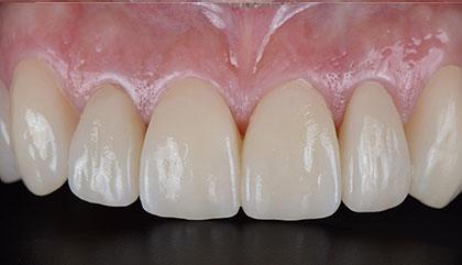
before
after
before
after
before
after

Opening Hours

DayHours
Monday8:30 a.m. - 5:30 p.m.
Tuesday8:30 a.m. - 5:30 p.m.
Wednesday8:30 a.m. - 5:30 p.m.
Thursday8:30 a.m. - 5:30 p.m.
Friday8:30 a.m. - 3:00 p.m.
Saturday8:00 a.m. - 2:00 p.m.
SundayClosed

YOUR Lake Worth TEAM

Lake Worth Office
Lake Worth Office
Lake Worth Office
Lake Worth Office
Lake Worth Office
Lake Worth Office
Lake Worth Office
Lake Worth Office
Lake Worth Office
Lake Worth Office
ET
Elaine T.

The staff was organized and helpful for. The nurses were so sweet and supportive. The doctor was very business like and quickly extracted my extremely painful tooth. The costs was reasonable. I definitely will this use this dentist again.

KC
Karen C.

I had an emergency appointment for a badly cracked tooth. They saw me asap and then apologized for my wait. Came in the next day for a temporary crown. Staff was professional and attentive. Thank you for a great experience at such short notice.

MW
Michele W.

A lovely office. Staff are kind and my nurse was a jewel. It was my first visit, but I will need extensive work on my teeth. I will be staying with this dentist for that work. He is nice, honest, and direct which are qualities I appreciate.

ET
Eugenia T.

Very good people, doctor understood right away what’s wrong and helped us with a good plan and fix our problem . Very helpful people and a good team.

You’ve made it this far. . .

FREE Teeth Whitening

Just ask at your first visit

Your Lake Worth VENEERS EXPERTS

Frequently Asked Questions

Is there a timeline for this treatment?

Tired of hiding your smile behind closed lips? Experience the transformative power of veneers at Today Dental of Lake Worth! Our streamlined process delivers stunning results in as little as 2 appointments, held 2-3 weeks apart. And for additional control over your smile journey, we offer an optional "try-in" appointment. Here, you can see your custom-designed veneers come to life and suggest any changes to ensure they perfectly complement your unique features and desires. At Today Dental, we believe in providing exceptional care and exceeding your expectations. Let us unveil your dream smile – a smile that radiates confidence and empowers you to embrace life with joy.

What's the budget for this treatment?

While the specific cost of your porcelain veneer journey depends on your individual needs and preferences, understanding the general range can help you prepare. Each veneer typically falls within the $1,200-$2,000 range, with most patients opting for 6-8 veneers to achieve the desired "Smile Zone" transformation. However, the final cost depends on two key factors: your choice of veneer quality (standard or premium) and your unique dental anatomy. This might involve replacing older restorations, hiding metal fillings, addressing worn teeth, or accommodating teeth grinding habits. We are dedicated to transparency and personalized care. During your consultation, we'll provide a detailed explanation of any potential cost adjustments specific to your case, ensuring you have a clear understanding of your investment in a smile that empowers you to smile brighter and wider than ever before.

Just wondering, what should I anticipate during my first appointment?

Invest in your confidence with a free consultation at Today Dental! We offer comprehensive smile makeovers at no cost, including X-rays to assess your bone and gum health, a thorough review of your dental history, and an evaluation for teeth grinding (bruxism) – a condition potentially requiring a mouth guard after veneers. Living up to our name, Today Dental prioritizes speedy service. In many cases, your veneer journey can begin on the same day of your consultation, saving you both time and money.

I'm considering veneers. What makes them a good option?

  • Stained, chipped, or misshapen teeth? Veneers offer a permanent, confidence-boosting makeover.
  • Craving a whiter smile, but traditional methods don't deliver? Veneers work wonders!
  • Uneven gaps or misalignment bringing you down? Veneers create a perfectly aligned, balanced smile.
  • Built to last and resist stains, veneers are a long-term investment in your happiness.
  • Enjoy your dream smile without sacrificing much – veneers require minimal tooth removal.
  • Fast transformation, lasting results! Veneers often take just a few appointments.

I have a damaged veneer. Are you able to repair it?

At Today Dental, we frequently prioritize repair over replacement! We understand the importance of preserving your natural teeth and existing dental work. Don't let a chipped veneer create undue stress. Schedule a consultation with our experienced team, and we'll perform a thorough assessment to determine the best approach, whether it's a repair that restores functionality and aesthetics or, less frequently, a replacement. Experience the Today Dental difference – prioritizing conservative care for long-lasting smiles.