 
 Your Lake Worth Dentist
 
 Opening Hours
| Day | Hours | 
|---|---|
| Monday | 8:30 a.m. - 5:30 p.m. | 
| Tuesday | 8:30 a.m. - 5:30 p.m. | 
| Wednesday | 8:30 a.m. - 5:30 p.m. | 
| Thursday | 8:30 a.m. - 5:30 p.m. | 
| Friday | 8:30 a.m. - 3:00 p.m. | 
| Saturday | 8:00 a.m. - 2:00 p.m. | 
| Sunday | Closed | 
Your Lake Worth ROOT CANAL EXPERTS
Frequently Asked Questions
Feeling anxious about a root canal?
Modern advancements have revolutionized root canal procedures. Local anesthesia ensures minimal discomfort, and many patients report feeling more relaxed than anticipated. Our experienced team is here to guide you through the process comfortably.
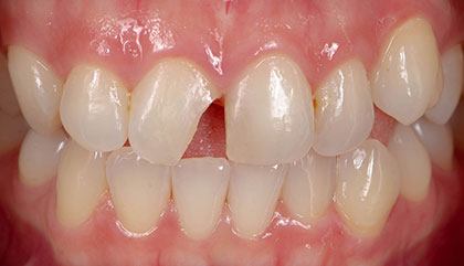
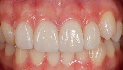
Root canals and weakened teeth: Understanding the facts.
It's true that larger back teeth, particularly molars, can be more prone to fractures after a root canal due to losing their blood supply. However, this doesn't always happen. To address this potential concern, dentists often recommend placing a crown on back teeth after the procedure for added strength. Front teeth, however, typically don't require crowns following a root canal.
Fast-track your recovery with a same-day root canal option!
At Today Dental of Lake Worth, we prioritize your well-being and understand the urgency of resolving discomfort. We reserve specific slots in our schedule for same-day root canals, aiming to get you back to your daily routine quickly. In the rare case our office is closed, we'll collaborate with our partner clinic to ensure you receive prompt care.
Pain-free doesn't always mean a healthy tooth: Here's why.
A crucial fact to remember is that a root canal might be necessary even when you experience no pain. This often signifies the tooth is "dead" (lacking a nerve), explaining the absence of discomfort. However, the underlying infection can still spread and lead to serious complications like abscesses if left untreated. Our dentists utilize a comprehensive assessment, including X-rays, to accurately diagnose your specific needs and recommend the most appropriate treatment course.
Extraction vs. Root Canal: Making a well-informed decision.
While extracting a tooth may seem like a quicker fix initially, it can often lead to greater financial burdens down the line. Replacing a missing tooth with implants or dentures can be significantly more expensive than saving the natural tooth with a root canal (and potentially a crown). Additionally, each tooth plays a vital role in maintaining the structure and function of your jaw, preventing surrounding teeth from shifting and causing misalignment. Choosing a root canal can not only save you money but also contribute to a long-term healthy and stable smile, preserving your natural teeth for optimal functionality and aesthetics.
 
  
  
  
  
  
  
  
  
  
  
  
  
  
  
  
  
  
  
 