
Your Lake Worth Dentist

Opening Hours
Day | Hours |
---|---|
Monday | 8:30 a.m. - 5:30 p.m. |
Tuesday | 8:30 a.m. - 5:30 p.m. |
Wednesday | 8:30 a.m. - 5:30 p.m. |
Thursday | 8:30 a.m. - 5:30 p.m. |
Friday | 8:30 a.m. - 3:00 p.m. |
Saturday | 8:00 a.m. - 2:00 p.m. |
Sunday | Closed |
Your Lake Worth DENTAL FILLING EXPERTS
Frequently Asked Questions
How long does a filling take?
Dental fillings typically take around 15-30 minutes per section (like your upper right quadrant) after the initial exam. Whenever possible, we prioritize completing all your fillings in a single visit to save you time and hassle.
What's the cost of a filling?
Fillings are generally the most affordable option for restoring your tooth's health, function, and appearance. The cost depends on two main factors:
- Location: Fillings on teeth further back tend to be more expensive than those on front teeth.
- Number of surfaces filled: The more surfaces (out of six) requiring filling, the higher the cost.
Don't worry about insurance! In most cases, dental insurance covers 80% to 100% of the cost. If you don't have insurance, we offer our in-office discount plan (CareDent) for insurance-like pricing.
What to expect at your first filling appointment?
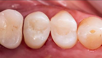
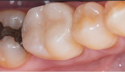
In some cases, the dentist might numb the area before the procedure. For shallow decay, anesthesia might not be necessary. The dentist will then use a special tool to remove any decay and fractures from the tooth. They'll then fill the tooth with a tooth-colored resin that hardens with a special light. Finally, they'll adjust your bite and polish the filling, and you're good to go!
Why get a filling?
At Today Dental of Lake Worth, we believe in conservative dentistry. This means we prioritize preserving as much of your natural tooth structure as possible. Whenever possible, dental fillings are a more conservative and cost-effective option compared to crowns. Our dentists only recommend treatments you absolutely need, treating all patients like family with a commitment to quality and ethical care.
Do you repair existing fillings?
Absolutely! Whenever possible, we prefer to repair existing fillings rather than replacing them entirely. However, if decay is present, the dentist might need to remove the entire filling. We will always strive to preserve any previous dental work as long as it doesn't compromise the tooth's function or durability.