
Your Lake Worth Dentist

Opening Hours
Day | Hours |
---|---|
Monday | 8:30 a.m. - 5:30 p.m. |
Tuesday | 8:30 a.m. - 5:30 p.m. |
Wednesday | 8:30 a.m. - 5:30 p.m. |
Thursday | 8:30 a.m. - 5:30 p.m. |
Friday | 8:30 a.m. - 3:00 p.m. |
Saturday | 8:00 a.m. - 2:00 p.m. |
Sunday | Closed |
Your Lake Worth CROWN & Bridge EXPERTS
Frequently Asked Questions
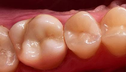
Can you help me understand the timeframe for a dental crown?
Crowns and bridges typically involve two appointments spaced a few weeks apart. However, emergencies like chipped front teeth might allow for quicker completion of crowns. While some clinics offer same-day solutions, our experience shows superior results come from crowns crafted in our on-site lab using high-heat techniques. At Today Dental of Lake Worth, prioritizing long-lasting functionality and optimal care is our core mission.
Curious about your first appointment?
Efficiency is key at Today Dental of Lake Worth. Upon arrival, you'll be greeted and escorted to the treatment area. To assess your oral health, we'll take digital images and X-rays. The dentist will then perform a thorough examination, asking about any potential discomfort. If decay or fractures are present, crown treatment might be recommended. In most cases, we strive to initiate treatment on the same day, reflecting our commitment to prompt care. Following tooth preparation for the crown, a temporary restoration will be placed, and an impression will be taken. You'll return in 2-3 weeks for permanent crown placement.
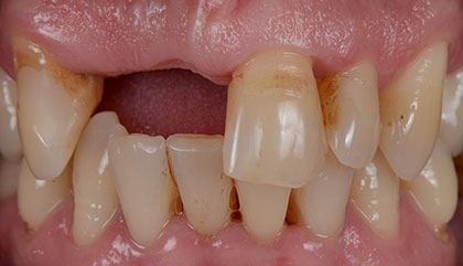
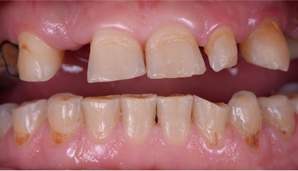
Unsure about dental bridges and how they work?
Think of a dental bridge as a solution similar to a crown, but designed to address the gap created by missing teeth. It consists of two or more crowns cemented to the teeth flanking the gap (abutment teeth) and one or more artificial teeth (pontics) filling the space between. The abutment teeth act as anchors, while the pontic effectively restores the appearance and functionality of the missing tooth/teeth. Bridges can be crafted from various materials, including porcelain or zirconia, and are securely attached to natural teeth for optimal stability. While dental bridges offer a convenient solution for replacing one or two missing teeth, they might not be suitable for restoring numerous missing teeth. A dental professional can offer further guidance in such cases.
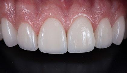
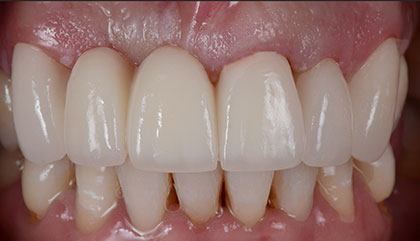
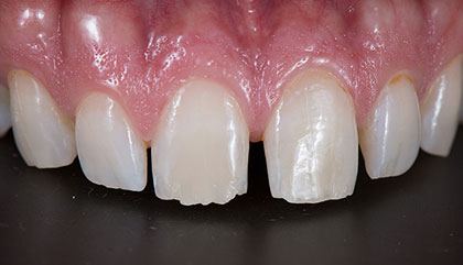
Unsure if a dental crown is the right choice for you?
At Today Dental of Lake Worth, we prioritize conservative approaches, aiming to preserve as much healthy tooth structure as possible. We believe natural teeth offer unmatched functionality and durability. So, why consider a dental crown? Firstly, crowns act as tooth savers, protecting existing tooth structure compared to alternatives like implants or dentures that require tooth extraction. Additionally, crowns offer a simple and efficient solution to reinforce weakened, cracked, or decayed teeth. Furthermore, they can enhance both the aesthetics and functionality of your smile.
Why should I get a crown?
At Today Dental of Lake Worth we always take the conservative approach. Our goal is to save as much natural healthy tooth structure as possible. There is nothing a dentist has that will beat a natural tooth. So, why get a dental crown? It saves teeth! It also saves enamel compared to other options such as implants or dentures where the tooth would be removed entirely. Dental crowns are a simple, quick way to strengthen broken, cracked and decayed teeth. Dental crowns can also be used to improve esthetics and function (chewing).