
Your Lake Worth Dentist

Opening Hours
Day | Hours |
---|---|
Monday | 8:30 a.m. - 5:30 p.m. |
Tuesday | 8:30 a.m. - 5:30 p.m. |
Wednesday | 8:30 a.m. - 5:30 p.m. |
Thursday | 8:30 a.m. - 5:30 p.m. |
Friday | 8:30 a.m. - 3:00 p.m. |
Saturday | 8:00 a.m. - 2:00 p.m. |
Sunday | Closed |
Your Lake Worth DENTAL cLEANING EXPERTS
Frequently Asked Questions
Can I schedule an appointment for today?
Today Dental understands the importance of timely dental care and prioritizes accommodating same-day appointments whenever possible. We strive to fit you into our schedule for your convenience. In the rare instance our office is closed, we will happily connect you with an appointment at our nearby sister office.
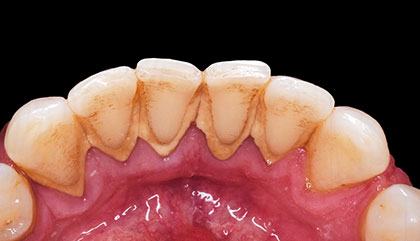
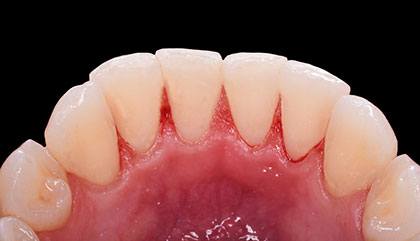
What is an ultrasonic cleaning?
Today Dental utilizes advanced ultrasonic cleaning technology for a more gentle and efficient cleaning experience. This method employs high-frequency sound waves and a specialized solution to effectively remove plaque, tartar, and stains from your teeth. It offers a more comfortable alternative to traditional cleaning methods.
I may need a "deep cleaning," can you help?
Our experienced team at Today Dental of Lake Worth has extensive expertise in scaling and root planing (deep cleanings). We conduct a thorough oral health evaluation to determine the most appropriate treatment plan tailored to your individual needs. Personalized care is our top priority.
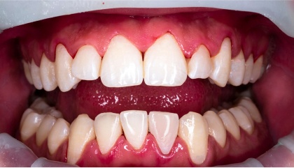
Can I get a regular cleaning when I know I need a "deep cleaning"?
While regular cleanings are crucial for maintaining oral health, they are not recommended for individuals requiring a deep cleaning due to gum disease. A deep cleaning addresses more advanced plaque and tartar buildup below the gumline, requiring specific treatment protocols. In some cases, a preliminary debridement cleaning might be suitable to prepare the teeth above the gumline for your upcoming deep cleaning appointment.
How long will my appointment take?
The duration of your appointment depends on several factors, including whether you are a new or existing patient and the type of procedure required. Typically, routine cleanings with exams and X-rays take approximately one hour for returning patients and one and a half hours for new patients. Deep cleanings (scaling and root planing) usually require a separate appointment and can last anywhere from one to three hours, depending on the severity of the case.